


查房时间:71 岁,女,意识模糊、失语症 3 天。既往有重症肌无力病史。
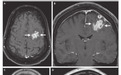
白细胞计数升高,MRI如图。
病变组织活检发现有非典型细胞浸润,呈局灶性血管周围排列。
考虑什么性质占位?怎么治疗?
老年女性,重症肌无力病史,往往使用激素,免疫抑制剂,多发环状强化,急性发病,脓肿,真菌,寄生虫都要考虑,转移瘤可能性不大,腰穿脑脊液培养,NGS检查。
患者重症肌无力,可能使用激素等免疫抑制药物治疗,结合白细胞升高,考虑脑脓肿可能,完善腰穿协助诊断,考虑抗感染治疗,必要时手术切除病灶。
9:30
老年性,急性起病,表现为意识模糊,失语等皮层功能区,既往重症肌无力病史,激素,免疫抑制剂,影像学提示额叶病灶,检验提示白细胞升高,炎症反应?活检提示非典型细胞浸润,呈血管排列,目前最常用还是排他性midnights诊断原则炎症/免疫性,变性肿瘤,感染。
患者老年女性,急性起病,有意识水平下降,既往重症肌无力病史,结合WBC升高、核磁所示不规则环形强化及周围大水肿带,优先考虑脑脓肿,需完善腰穿和CSF病原学检查。因MG可合并纵膈肿瘤,需鉴别转移瘤。
@所有人
这个患者起病是比较急的,在上班(71 岁了还在打工)打字的时候突然出现不连贯,几分钟之后就失语了。
患者有「重症肌无力」病史,长期服用霉酚酸酯,可能导致免疫功能低下状态。
结合影像学表现,高度怀疑是淋巴瘤,进行了开颅活检,术中冰冻切片并么有提示炎症,也提示有恶性浸润,考虑淋巴瘤,取了组织送病检,没有取额外组织做微生物检测。
术后,尽管接受了糖皮质激素治疗,患者的神经系统状况仍持续恶化,术后第一天,重复头部 MRI 检查显示病情进展,水肿加重。
术后第二天,病理科报告有新发现:主要是炎症反应为主。这你受得了?
于是进行了第二次活检,取了组织做微生物检测,最后通过质谱分析确定:单核细胞增生李斯特菌感染。(这个过程我写出来几句话,实际病例的分析过程相当复杂)
患者治疗方案:0~2 周接受氨苄青霉素静脉给药+口服利奈唑胺,3~6 周接受氨苄青霉素静脉给药,7~8 周口服利奈唑胺。住院三周后出院行康复治疗,各方面症状明显改善。
“特别声明:以上作品内容(包括在内的视频、图片或音频)为凤凰网旗下自媒体平台“大风号”用户上传并发布,本平台仅提供信息存储空间服务。
Notice: The content above (including the videos, pictures and audios if any) is uploaded and posted by the user of Dafeng Hao, which is a social media platform and merely provides information storage space services.”