#长沙头条##湖南省人民医院#
“谢谢你们,解决了我多年来的病痛!”2025年2月13日,即将出院的八旬老人握着湖南省人民医院普外科兼胃肠外科主任陈超武的手,连声道谢。

▲湖南省人民医院胃肠外科陈超武主任等查看患者术后恢复情况
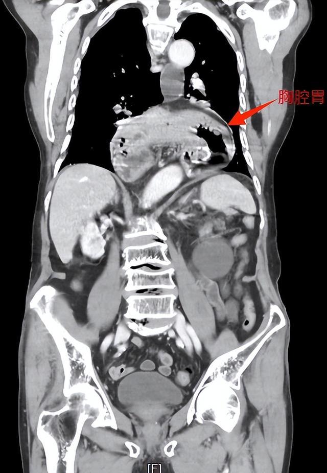
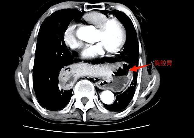
82岁的王爷爷来自湖南岳阳,两三年前开始出现烧心(平躺时尤甚)和进食后呕吐的情况,在当地医院接受护胃、补液等对症治疗,效果甚微。2025年初,老人腹痛、呕吐症状加剧,CT检查发现:他整个胃腔及部分横结肠“顶入”胸腔,形成“胸腔胃”。
▲省医胃肠外科彭微副主任医生团队为患者施行机器人腹腔镜微创手术
由于患者超高龄、多脏器功能衰退,辗转省内多家大型医院寻求手术未果。1月21日,老人经人推荐来到湖南省人民医院普外科彭微副主任医师处就诊,随后被收入胃肠外科病房治疗。
▲省医胃肠外科彭微副主任医生团队为患者施行机器人腹腔镜微创手术
入院完善相关检查的同时,科室组织心内科等多学科专家对病情进行讨论,最终决定突破高龄手术禁忌,为老人施行机器人食管裂孔疝补片修补、胃底折叠(Nissen)、右侧胸腔闭式引流手术。
▲术前,胃及横结肠“顶入”胸腔
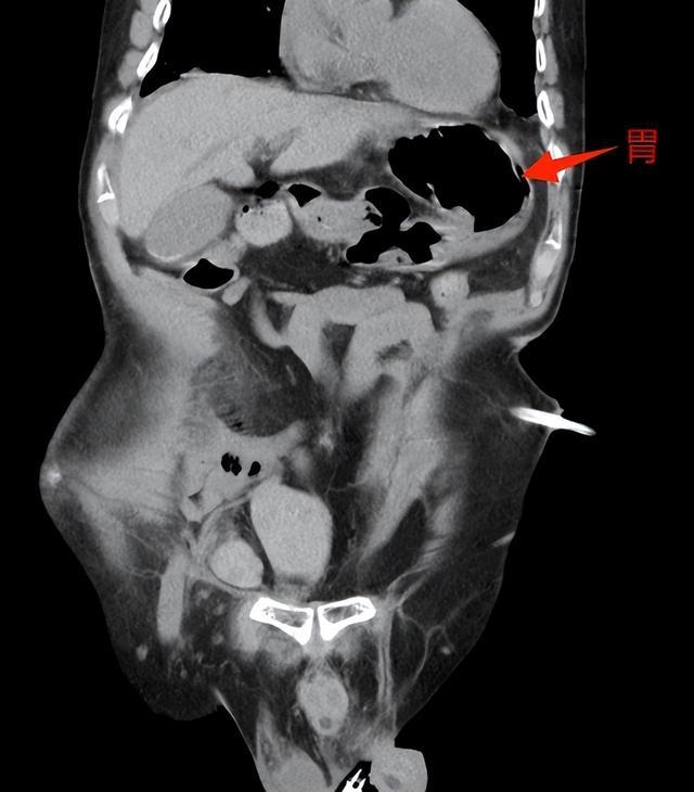
1月25日,在陈超武主任的指导下,彭微副主任医师等采用机器人腹腔镜微创手术,精准分离胸腔粘连组织,将疝入的胃及横结肠完全复位及修补,并重建抗反流屏障。手术全程出血量不到100ml,膈肌周围重要血管、神经保护良好。
▲术后,胃及横结肠归于腹腔
术后,患者恢复良好,呕吐症状消失,顺利出院。
此病例的成功救治,彰显了湖南省人民医院胃肠外科陈超武主任团队作为省内机器人外科手术先行者,在高龄危重症救治领域的综合实力,标志着学科在复杂疝病外科领域达到国内领先水平。
湖南医聊特约作者:湖南省人民医院 梁辉 彭微
关注@湖南医聊,获取更多健康科普资讯!
(编辑Wx)








