亲爱的姐妹们,你有没有遭遇过这样的烦心事:剖宫产后,不仅经期变得乱七八糟,痛经还时不时来骚扰?这可不是小事儿,很可能是“子宫切口憩室”这个坏家伙在捣蛋!!
一、什么是子宫切口憩室?
看到这里,有姐妹可能就要问了,什么是“子宫切口憩室”呢?简单来说,它就是剖宫产切口留下的一个“小陷阱”——假腔缺陷。想象一下,在子宫下段进行剖宫产术后,由于切口愈合不良,可能会形成一个凹陷,经血就在这个小坑里“安家落户”,不能顺畅地流出来,于是便引发了一系列临床症状。

二、子宫切口憩室有哪些症状?
首先,剖宫产术后,经期会变得淋漓不尽,月经明明已经结束了,可还是会断断续续出血,如同一个调皮的孩子,时不时和你玩“捉迷藏”。
其次,经间期(也就是两次月经中间)还可能会给你来个突然“惊喜”,让你措手不及。
再来,痛经也会找上门来,甚至让你“痛不欲生”。最严重的是,由于经血排出不畅,还可能影响女性的正常受孕,让你的“造人计划”泡汤。
三、怎么诊断子宫切口憩室?
想要解决“子宫切口憩室”,及时诊断至关重要。
首先,医生会进行妇科检查,看看阴道里有没有咖啡色分泌物这个“小线索”。
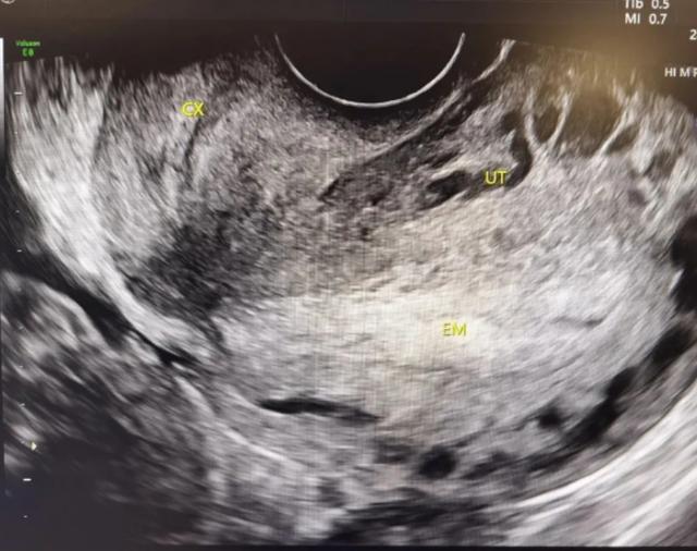
接着,还有四维超声和MRI这些高科技手段来帮忙。四维超声可以直观地显示子宫的形态和结构,而MRI就像个透视眼,能准确地了解假腔的大小、肌层厚度以及是否存在活瓣等关键信息。
活瓣就像是个“小阀门”,有时候会让经血“堵车”,有时候又会让它“溜之大吉”,进一步加重患者病情。
(B超显示子宫切口憩室)
四、子宫切口憩室该怎么治疗呢?
子宫切口憩室近年来得到临床医生的日益重视,但目前对这个“小陷阱”的处理,尚无统一标准,治疗方案的选择需要根据患者的个人情况,尤其是生育需求来确定。
五、腔镜微创手术治疗
在湘雅三医院-江湾医院医联体专家徐大宝教授的指导下,长沙江湾妇产医院妇科团队针对不同病情以及不同生育需求的患者,量身定制不同的手术方案。
1、对于经期淋漓不尽、疤痕残留肌层厚度大于3毫米且有活瓣的患者,宫腔镜手术是一个不错的选择。手术过程中,医生会切除下缘的活瓣,并对异位内膜进行电凝处理。同时,手术过程中将特别小心,尽量避免损伤膀胱等重要器官。
2、而对于疤痕厚度小于3毫米、假腔宽大且有保留生育力需求的患者,腹腔镜手术则是更好的选择。在宫腔镜的准确定位下,通过腹腔镜充分游离膀胱,暴露子宫血管,并使用冷刀剪切上下缘疤痕。随后,对子宫下缘和侧壁的异位内膜进行电凝处理。缝合时,医生会使用0号可吸收线进行兜底缝合,以确保不留下死腔。
六、名中医专方调理
除了手术,长沙江湾妇产医院还采用全国名中医尤昭玲教授提出的“尤氏治疗三步法”进行全流程辅助调养,名医专方,取得了显著的临床效果。
第一步“清宫”:在非经期的时候,以补气祛邪、清热解毒为主,就像给宫腔来个“大扫除”,清解宫腔内的热瘀之邪。
第二步“逼宫”:在经前期的时候,以宣散温通为主,就像给宫腔内的淤血邪气来个“大驱赶”,让它们赶紧“滚蛋”。
第三步“缩宫”:在经后期(月经周期第 4 天开始)的时候,以收涩止血为主,就像给假腔伤口来个“大包扎”,同时兼以清补,涩中有补,涩、补双管齐下,更有助于收敛创口。
三步下来,胞脉通了、脏腑调了、气血也足了,胞宫得到了充分的气血供养,伤口也得到了荣养,自然就能慢慢愈合啦!
子宫切口憩室作为一种常见的剖宫产术后并发症,给许多女性带来了不小的困扰。然而,通过及时的诊断和治疗,我们完全有能力战胜这一疾病。
长沙江湾妇产医院始终致力保护与重塑女性生育力,依托湖南省宫腹腔镜微创临床医疗技术示范基地,江湾妇科拥有一支教授、博导、主任医师领衔的高年资专家队伍,配备新型先进的STORZ一体化手术室、科迈森4K高清腹腔镜荧光设备、灵宝镜冷刀医疗器械等高端设备,全面开展女性不孕、宫腔粘连、宫内疾病、宫颈病变、妇科炎症、计划生育等女性生殖健康疾病诊疗服务。
以强大的导师团队、舒适的妇科病区、优质的人文服务、精湛的微创技术,针对患者不同病情、生育需求,制定个性化诊疗方案,为更多女性患者提供精准有效的一站式服务。
湖南医聊特约作者:长沙江湾妇产医院 周静 刘微
(编辑Wx)





