近日,中南大学湘雅医院江西医院(国家神经疾病区域医疗中心)癫痫中心主任医师张建中团队成功为一名药物难治性癫痫患者实施了江西省首例可充电、可感知、蓝牙无线通信的迷走神经刺激植入手术(VNS)。
这一手术不仅标志着中南大学湘雅医院江西医院在癫痫治疗领域取得了重要突破,更为广大药物难治性癫痫患者带来了新的治疗希望。

患者为一名20岁年轻女性,13年前,无明显诱因出现四肢抽搐、双眼上翻、意识不清,症状持续约30秒后可自行缓解,患者多次就诊,诊断为癫痫,此后的治疗过程中,经多次调整用药,仍需服用大剂量抗癫痫药物(德巴金、卡马西平、氯硝西泮及吡仑帕奈联合治疗),但病情仍未得到有效控制,每天均有发作。
在得知中南大学湘雅医院江西医院癫痫中心拥有先进的治疗技术和丰富的临床经验后,患者及其家属慕名而来。
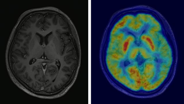
▲术前MRI和PET-CT
▲患者术前脑电
经过全面的癫痫术前评估,包括长程视频脑电图、头颅CT、PET-CT和MRI检查,多学科会诊认为患者脑电起源广泛,影像学检查未见明显局灶性病灶,不适合进行癫痫灶切除性手术。
综合考虑患者的具体情况,张建中团队决定为患者实施可充电、可感知、蓝牙无线通信的迷走神经刺激植入手术。
手术由张建中主刀,朱荣岚主治医师担任助手,历时约一小时,过程顺利。术后,患者恢复情况良好,未出现明显不适症状。术后2周开机随访显示,患者癫痫发作已明显改善。
迷走神经刺激术(VNS)作为一种治疗药物难治性癫痫的重要手段,具有不开颅、创伤小等优势,是癫痫外科治疗的选择之一。中南大学湘雅医院江西医院癫痫中心将继续秉持“以患者为中心”的服务理念,不断探索和创新治疗方法,为广大癫痫患者带来更加优质、高效的医疗服务。
健康科普
迷走神经刺激(VNS)术:
迷走神经刺激(Vagus nerve stimulation,VNS)术是一个微创手术,仅需植入一个小型电子刺激器,它就像一种“电子药物”,能够辅助治疗,技术成熟且广泛应用。
并且VNS无需开颅,手术过程相对简单,手术风险较低,常见的副作用包括声音嘶哑、喉部不适、咳嗽等,但多为暂时性的。
【编辑:YT 】



