当王女士被紧急送入攸县人民医院时,她的左下肢已因车祸扭曲变形,苍白的脸色与冷汗浸透的衣衫诉说着剧痛。
这场意外不仅让她的股骨遭遇罕见的“双段骨折”——左股骨干与转子间两处严重移位,更将骨二科团队推向了技术与勇气的双重考验。
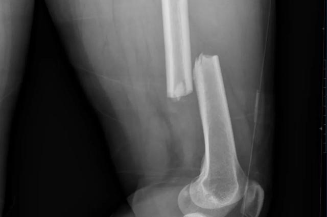
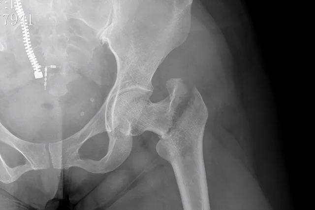
接诊医生张程触诊时感受到明显的骨块错动,影像检查印证了最棘手的判断:患者左股骨如同被暴力折断的树枝,近端转子间与中段骨干同时出现不稳定性骨折。
这种“一骨双折”的罕见病例,具备明确手术指征。传统手术方案需在患者左大腿上下段都开刀,植入两块钢板进行固定,切口长度几乎贯穿大腿,手术风险、医疗费用与漫长康复期均令王女士望而却步。
而保守治疗虽然避开了手术的风险,但长期卧床可能引发的血栓、感染、肌肉萎缩等致命风险,同样让人忧心忡忡。

(术前)
面对这一难题,骨二科团队没有选择退缩,而是在术前讨论时抛出了一个挑战性命题:“我们能否用一把钥匙解开两把锁?”他们深知,这意味着要挑战传统,采用一种创新手术方式来解决这个罕见病例。
经过深思熟虑和反复推演,与王女士及其家属充分沟通后,骨二科团队决定采用微创手术方案,为王女士行闭合复位髓内钉内固定手术治疗,稳定骨折端,重塑下肢力线。
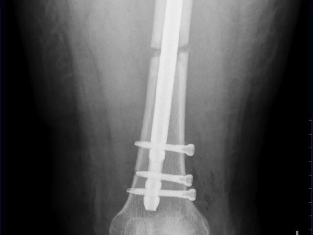
(术后)
手术室内,C型臂X光机如同医生的“第三只眼”,实时捕捉着导针在骨髓腔内的行进轨迹。主刀医生凭借着丰富的经验和精湛的技术,通过股骨近端6厘米的单一切口,利用弹性导针完成了双骨折段的“串珠式”精准复位,全程未损伤任何肌肉组织。术后王女士安返病房,目前恢复良好。
这场手术的成功,得益于骨二科十年磨一剑的技术沉淀。他们始终践行“最小创伤、最优复位、最快康复”的理念,让我们得以在这个6厘米的切口上,既看到现代骨科技术的精度,更触摸到医者仁心的温度。
当医学从“大刀阔斧”走向“精雕细琢”,当治愈的标准从“保住性命”升级为“无损生活”,攸县人民医院骨二科用实际行动为“健康中国”蓝图添上了生动、有力的一笔。
湖南医聊特约作者:攸县人民医院 骨二科 李铁军
(编辑YT)





