近日,桃源县中医医院耳鼻咽喉头颈外科为一例外耳道胆脂瘤患者实施微创下胆脂瘤病灶切除术+外耳道成形术+植皮术,患者手术顺利,术后恢复良好。
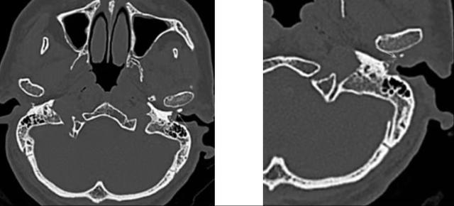
67岁燕大伯因“左耳疼痛不适反复1月加重3天”来桃源县中医医院耳鼻咽喉头颈外科门诊就诊,经初步检查,医生考虑燕大伯耳朵情况为“外耳道胆脂瘤”,于是建议住院进一步检查治疗。入院后完善术前相关检查,CT发现燕大伯左耳道骨质明显破坏,且范围较大,前壁及下壁可见骨质裸露,缺损,部分坏死。庆幸的是鼓膜及鼓室,听骨无明显破坏。

(▲术前CT检查)
(▲术前耳内镜检查)
燕大伯的情况符合“外耳道胆脂瘤”症状,主管医师谢云波副主任医师建议手术治疗,并为其制定详细周密治疗计划及手术方案,告诉他,手术是采用目前最先进微创技术,创伤小,恢复快。
经过充分的沟通并在排除手术禁忌症后,医生在全麻下为燕大伯实施了耳内镜持续灌流模式下行左侧外耳道病损切除术+左侧耳道成型术+游离皮片取皮术+耳道植皮术,手术顺利,麻醉满意。
术后常规治疗后顺利出院,病检结果提示:符合外耳道胆脂瘤。
(▲术后三周复查耳内镜)
近日燕大伯复查显示创面恢复良好,同时术后左耳疼痛症状也已消失。
健康科普——知识小链接
那么胆脂瘤到底是不是“瘤”?胆脂瘤:胆脂瘤是一种内含胆固醇结晶的囊性结构,在人体多个部位都可能出现,比如中耳、颅内、外耳道等。
从本质上来说,胆脂瘤它并不是真正意义上的“肿瘤”。而是鳞状上皮组织在中耳乳突内的生长,其生成机制、病理及转归与慢性化脓性中耳炎不同。
以外、中耳胆脂瘤为例,它会不断堆积、增大,压迫周围骨质结构。这是因为胆脂瘤会产生一些酶,这些酶能溶解骨质,严重时可能破坏听小骨等结构,从而影响听力,还可能引发耳鸣、耳流脓等症状。其形成可能与咽鼓管功能不良、鼓膜穿孔、慢性炎症刺激等因素有关。
胆脂瘤外、中耳炎必须手术吗?
由于外、中耳胆脂瘤破坏性大,当其逐渐增大时会压迫腐蚀周围骨质,并向邻近组织扩散,若得不到及时有效的治疗,可造成严重危害,甚至危及患者生命,所以必须及早治疗。
外、中耳胆脂瘤的治疗方法主要是依靠手术来清除病灶,这种手术是非常精细的显微外科手术,医生在清除病变的同时,会尽可能保留原有生理结构。如果听骨链被破坏,有时还需要用人工听骨替代,进行听力重建。
湖南医聊特约作者:桃源县中医医院 耳鼻咽喉头颈外科 谢云波
(编辑92)





