肩、肘、腕、指、髋、膝、踝、趾、颈、项、腰、背肿痛,麻木等,都是生活中常见的情况,一般我们想到的更多是去照个X线或CT或MR,而现在肌骨超声也能对肌肉、骨骼方面的疾病进行诊断和治疗。
一、什么是肌骨超声?
益阳市中心医院介绍,肌骨超声(Musculoskeletal Ultrasound)是一种利用高频超声波技术,实时动态观察肌肉、肌腱、韧带、关节、神经等软组织结构的影像学检查方法。它通过探头发出声波,接收反射信号生成图像,帮助医生精准定位病变部位,被誉为“医生的透视眼”。
二、肌骨超声诊断的常见疾病
1、肩关节超声检查
肩袖损伤、肌腱病、粘连性关节囊炎(肩周炎)、肱二头肌长头腱肌腱炎及脱位、肱二头肌断裂、肩锁关节炎等。

▲三角肌下滑囊积液
▲冈上肌肌腱撕裂(部分宽度全厚度撕裂)
2、肘关节超声检查
肘管综合征、肱骨内上髁炎(高尔夫球肘)、肱骨外上髁炎(网球肘)、尺骨鹰嘴滑囊炎等。
▲肱骨外上髁炎
(网球肘)
▲肘管段尺神经卡压
3、腕关节超声检查
腕管综合征、桡骨茎突狭窄性腱鞘炎(妈妈手)、扳机指、类风湿性关节炎、拇长屈肌腱断裂、前臂交叉综合征等。
▲前臂近端交叉综合征
▲指屈肌腱腱鞘炎
(扳机指)
4、髋关节超声检查
梨状肌综合征(坐骨神经卡压)、阔筋膜张肌肌腱病、小儿髋关节滑膜炎、坐骨结节滑囊炎、小儿发育性髋关节发育不良(DDH)等。
5、膝关节超声检查
骨性关节炎、半月板囊肿、髌腱损伤与撕裂、网球腿(腓肠肌内、外侧头、比目鱼肌及跖肌损伤)、鹅足腱炎、Baker囊肿、内外侧副韧带损伤、部分半月板损伤、部分前后交叉韧带损伤等。
▲膝内侧副韧带损伤性囊肿
▲距腓前韧带断裂
(III°损伤)
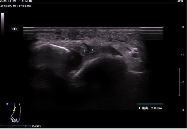
6、踝关节超声检查
踝管综合征、跟腱断裂、跟腱止点炎、崴脚后所致韧带损伤(距腓前韧带、跟腓韧带、胫腓前韧带、胫腓后韧带、距腓后韧带)、腓骨长短肌损伤、跖腱膜纤维瘤样增生、足底筋膜炎、痛风性关节炎等。
7、手部超声检查
三角纤维软骨复合体TFCC损伤、腱鞘炎、指伸肌腱损伤、掌腱膜挛缩、腱鞘巨细胞瘤、腱鞘囊肿、血管球瘤、腱帽损伤并伸肌腱滑脱、钙化性关节周围炎、手异物等。
8、其他神经肌肉病变
增生性肌炎、肌疝、肌性斜颈、肌间血肿等各类肌肉相关疾病,神经鞘瘤、神经纤维瘤、神经创伤、神经脱位等神经相关疾病,隐匿性骨折、骨皮质撕脱、软骨内钙化、软骨破坏等骨病与软骨病,筋膜炎、脂膜炎、脂肪瘤、皮肤纤维瘤、表皮样囊肿等体表肿物疾病。
三、肌骨超声的独特优势
1、无辐射、安全
超声波无电离辐射,孕妇、儿童均可安全使用,可反复检查。
2、实时动态成像
可观察关节活动、肌肉收缩等动态过程,发现静态检查(如MRI)可能漏诊的隐匿损伤。
3、高分辨率
高频探头能清晰显示毫米级结构(如肌腱纤维、神经束),对浅表组织损伤尤其敏感。
4、便携高效
设备轻便,适合床旁检查或运动场边快速诊断,检查时间通常仅需10-20分钟。
5、介入治疗“导航仪”
可精准引导关节注射、穿刺活检或疼痛治疗,提高操作安全性。
参考资料
中国医师协会超声医师分会《肌肉骨骼超声检查指南》
湖南医聊特约作者:益阳市中心医院 江芳强
(编辑Wx)









