近日,60岁的张大姐,因咽喉痛、吞咽困难伴颈部肿痛一周在当地医疗机构抗炎治疗4天无效后随即来到桃源县中医医院耳鼻咽喉头颈外科就诊,经电子喉镜及颈部CT检查诊断为“急性会厌炎”,病情严重,接诊医生立即为其安排住院治疗。

(入院时颈部病情,入院时电子喉镜)
精准诊断
入院后,主管医生谢云波副主任医师积极予以完善相关检查,诊断为:“1、急性会厌炎,并脓肿形成;2、颈部脓肿;3、咽旁脓肿”。
直觉提示病情重,立即予以加强抗炎,消肿,全身能量营养支持、雾化及中药外敷内服等治疗,与此同时告知患者、家属目前病情严重程度及风险性,然而,患者及家属仍未意识到病情凶险及致命性。
主管医生随即备气管切开包于床旁。一旦呼吸困难,随时做好气管切开准备,并叮嘱护理团队加强护理巡视。
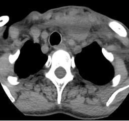
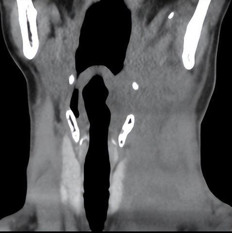
(入院时颈部CT病情)
慧眼视险情,果断出击,患者转危为安,微创创新,突显疗效
经保守治疗至第3天时,复查电子喉镜及颈部MRI检查后,提示病情无明显改善,并且咽喉会厌脓肿已形成并破溃流脓、颈深部脓肿形成,且范围大,炎症累及上纵膈边缘,脓肿一旦破入胸腔,死亡风险大大增加,病情相当危险,不能再耽搁。
告知患者及家属病情的凶险及严重后果后,谢云波副主任医师即刻评估病情,当天下午在急诊局麻下行颈部探查+颈部及咽旁脓肿切开引流术。
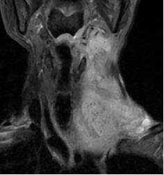
(术前MRI平扫+增强)
术中考虑到左侧下颈部隆起明显,威胁到纵膈胸腔,最终为患者实施左侧颈部低位局部切开探查+药水脓腔冲洗+改良负压引流,术中探查发现颈部筋膜下、肌肉间隙大量恶臭脓液,颈部筋膜、皮下组织广泛坏死、积气,留取脓液送细菌培养检查。
术后,积极使用全身应用广谱抗生素联合抗厌氧菌抗生素抗感染、营养支持、配合中药外敷内服、改良负压引流+积极换药等治疗,经过医护团队的积极救治和悉心照料,张大姐已度过了危险期,咽喉会厌脓肿及颈部脓肿逐渐缩小闭合,感染病情明显好转,引流管已拔除。
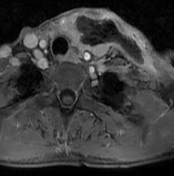
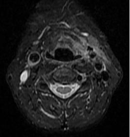
(术后14天颈部MRI复查病情)
颈部坏死性筋膜炎是一种以广泛而迅速的皮下组织和筋膜坏死为主要特征的急性软组织感染,是由致病菌入侵机体引起的以深、浅筋膜、皮肤及皮下组织进行性感染、坏死为特征的软组织病,颈部坏死性筋膜炎病情严重、罕见、潜在致命,如果不能早期诊断和治疗,死亡率很高。
目前该病多见于糖尿病及年老体弱、营养不良者。传统治疗方法上绝大部分需要采用全身麻醉下颈部探查+颈部坏死性筋膜炎性组织广泛切开清创,并充分引流,才得以痊愈。
湖南医聊特约作者:桃源县中医医院 耳鼻咽喉头颈外科 谢云波
(编辑YT)









