一名87岁高龄患者,反复咳嗽咳痰1个月,积极抗感染效果欠佳,近两天出现了呼吸困难,于是住进了湖南省第二人民医院(省脑科医院)呼吸与危重症医学科的病房。患者有多种基础疾病,肝癌晚期伴多发性骨转移,做了放疗、靶向及免疫治疗,合并乙肝后肝硬化、高血压、冠心病、2型糖尿病、下肢深静脉血栓形成等疾病。
患者刚入院时不同意做肺部CT检查,经抗积极感染后呼吸道症状无明显好转,并出现了一个很奇怪的现象,早餐时喝了紫米粥,可是到中午紫米粥被咳出来了!医生听诊时发现肺部有“煮粥”似的湿啰音。
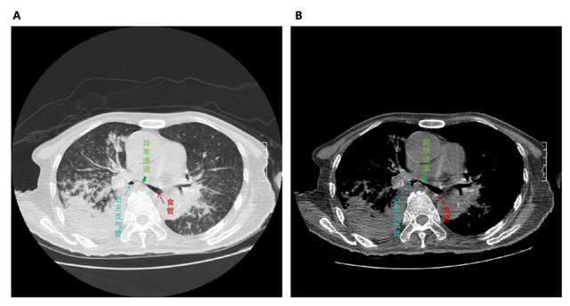
原本该走进消化道这个“热带雨林”被消化掉的紫米粥,似乎迷了路,穿越到本来与消化道不相往来的呼吸道,这到底发生了什么?为了明确病因,患者完善了肺部CT,发现食管与支气管之间开放了异常通道——出现了支气管食管瘘,并且继发了严重的肺部感染。

(▲患者肺部高分辨CT提示食管与右主支气管连通,形成支气管食管瘘。)
湖南省第二人民医院(省脑科医院)呼吸与危重症医学科曾祥伯主任介绍道:气管(支气管)食管瘘这种疾病不常见,容易导致漏诊和误诊,了解它的病因、症状及治疗方法对早期发现和干预至关重要。
一、什么是气管(支气管)食管瘘?
正常情况下,食管负责将食物输送到胃,而气管和支气管负责呼吸,两者互不相通。但当食管和气管/支气管之间出现异常的“瘘管”(即异常通道)时,食物、液体甚至胃酸可能误入呼吸道,导致呛咳、肺炎甚至窒息。这种情况就称为气管(支气管)食管瘘。
本文开头中提到的患者,吃进去的紫米粥,就是通过支气管食管之间的“瘘”漂移到了支气管,随后进入肺内引起难治性肺部感染。
二、为什么会得气管(支气管)食管瘘?
气管(支气管)食管瘘的形成原因多种多样,主要包括以下几类:
1. 先天性因素(出生时就有)
在胚胎发育过程中,气管和食管未能完全分离,导致先天性的瘘管。这种情况多见于新生儿,常伴随食管闭锁(食管未完全形成)。
2. 后天性因素(后天疾病或损伤引起),常见于成人。
(1)恶性肿瘤:食管癌、肺癌等肿瘤侵犯食管和气管壁,导致瘘管形成。
(2)感染:严重的结核病、真菌感染或化脓性炎症可能破坏食管和气管组织。
(3)外伤或手术:胸部外伤、食管或气管手术(如气管插管、食管扩张术)可能造成损伤。
(4)长期胃食管反流(GERD):胃酸反复刺激食管和气管,导致组织溃烂、穿孔。
(5)放射治疗:头颈部或胸部放疗可能引起组织坏死,形成瘘管。
三、气管(支气管)食管瘘有哪些症状?
由于瘘管导致食物或液体进入呼吸道,患者通常会出现剧烈咳嗽、反复肺部感染、呼吸困难等。
1、典型症状
(1)进食时剧烈咳嗽:尤其是喝水或吃流质食物时,食物误入气管,引发呛咳。
(2)反复肺部感染:由于食物或胃酸进入肺部,容易引发肺炎、肺脓肿。
(3)呼吸困难:瘘管较大时,可能导致气道阻塞,出现喘息或窒息感。
2、其他可能表现
(1)胸痛或烧灼感:尤其是胃酸反流刺激时。
(2)体重下降:因进食困难或反复感染导致营养不良。
(3)发热:由肺部感染引起。
曾祥伯主任提醒大家:婴幼儿如果出生后出现喂养困难、呛奶、口吐泡沫、呼吸急促等情况,需警惕先天性气管食管瘘的可能,应及时就医。
四、如何诊断气管(支气管)食管瘘?
由于症状与肺炎、胃食管反流等疾病相似,气管(支气管)食管瘘容易被误诊。医生通常会结合影像学、内镜等检查进行确诊。
1、影像学检查
(1)X线胸片:可观察肺部感染或食管异常。
(2)食管造影(钡餐):患者吞服造影剂后,X光下可显示瘘管位置。
(3)CT扫描:更清晰地显示瘘管的走向及周围组织情况。
2、内镜检查
(1)胃镜:观察食管内是否有瘘口。
(2)支气管镜:检查气管或支气管是否有异常通道。
3、其他检查
(1)pH监测:评估胃酸是否反流至食管和气道。
(2)肺功能测试:评估呼吸功能是否受影响。
五、气管(支气管)食管瘘怎么治疗?
治疗方法取决于瘘管的病因、大小和患者的整体健康状况,主要包括以下几种方式:
1、手术治疗(主要方法)
(1)瘘管切除+修补:通过手术关闭瘘管,并修复食管和气管的缺损。
(2)食管/气管重建:若组织损伤严重,可能需用人工材料或自体组织重建。
2、内镜治疗(微创方法)
(1)支架置入:在食管或气管内放置支架,封闭瘘管,防止食物进入气道。
(2)组织胶或封堵器:通过内镜注射特殊材料封闭瘘口。
3、保守治疗(适用于无法手术者)
(1)禁食+营养支持:通过鼻饲管或静脉营养维持身体所需。
(2)抗感染治疗:使用抗生素控制肺部感染。
(3)抑制胃酸:减少胃酸反流对瘘管的刺激。
4、病因治疗
如果是肿瘤引起的瘘管,可能需要化疗或放疗控制肿瘤进展。
六、如何预防气管(支气管)食管瘘?
曾祥伯主任说,虽然部分先天性因素无法预防,但我们可以降低后天性瘘管的发生风险:
1、控制胃食管反流:避免暴饮暴食,少食辛辣刺激食物,必要时服用抑酸药物。
2、及时治疗感染:如结核、真菌感染等,避免炎症破坏组织。
3、谨慎进行医疗操作:如气管插管、食管手术等需由经验丰富的医生操作。
4、戒烟限酒:降低食管癌、肺癌等恶性肿瘤风险
七、总结
气管(支气管)食管瘘虽然罕见,但一旦发生可能严重影响生活质量,甚至危及生命。如果出现进食呛咳、反复肺炎等症状,应及时就医检查。现代医学通过手术、内镜等手段可以有效治疗,关键是要早发现、早干预。希望通过本文,大家能对这个疾病有更清晰的认识,保持健康的生活方式,远离疾病困扰!
湖南医聊特约作者:湖南省第二人民医院(省脑科医院)呼吸与危重症医学科 王荣春
(编辑YT)


