长沙22岁的小伙子小张最近一段时间腹部逐渐隆起,仿佛怀胎数月,还伴有上腹胀痛、恶心呕吐等症状,到湖南省人民医院消化内科就诊,医生发现其腹腔内长出一个直径16厘米的巨大胰腺假性囊肿,严重压迫周边脏器,犹如一枚“定时炸弹”,十分危险。
湖南省人民医院消化内镜中心团队运用超声内镜引导定位,精准实施内外引流术,以微创方式化解危机。

(消化内科手术团队为小张运用超声内镜引导定位,精准实施内外引流术,以微创方式解除危机。)
小张三个月前因凶险的急性坏死性胰腺炎在鬼门关走了一遭,在家附近医院经救治才脱离危险。没想到胰腺炎引发胰腺体尾部假性囊肿,囊肿迅速长大,几乎占据了腹腔的“半壁江山”,不仅将胃、十二指肠等重要脏器挤压变形,更随时有破裂引发感染、大出血,小张再次面临致命风险。
消化内科专家团队经讨论认为,传统开腹或腹腔镜手术创伤巨大、恢复漫长,单纯外引流或内引流又难以彻底解决问题,最终为小张制定了全麻超声内镜引导下的囊肿胃内引流联合鼻囊肿引流术(内外引流)方案。
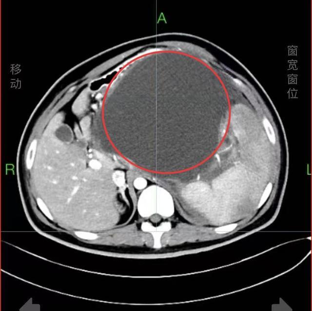
(CT影像中的巨大囊肿。)
术中,消化内科刘鹏主任团队在超声内镜的精准定位下,将穿刺针刺入囊肿腔,抽出约80毫升囊液。随后又经胃壁向囊肿内植入2根支架,建立起囊肿与胃腔之间的内引流通道,使囊液得以持续流入消化道。同时放置1根鼻囊肿引流管进行外引流,进一步确保引流效果并便于术后冲洗。这种“双管齐下”的内外引流策略,为囊肿的彻底消退提供了双重保障。
(手术前和手术后,小张的腹部对比。)
在团队紧密协作下,手术过程不足1小时,术后,小张症状缓解,于6月9日顺利出院。“还以为要开刀动大手术,没想到手术没有在孩子身体上留下伤口,出血也很少。”小张的母亲表示。
(术后刘鹏主任查看小张恢复情况。)
刘鹏主任介绍,胰腺假性囊肿是指胰腺周围或胰腺内部的非上皮组织包裹的液体积聚,常继发于急性胰腺炎、慢性胰腺炎和胰腺损伤。部分无症状或症状轻微的患者,囊肿可自行吸收,无需特殊治疗,而像小张这种体积较大、症状较严重的胰腺假性囊肿,主要以外科手术、经皮置管引流术及超声内镜(EUS)引导下的穿刺引流术等治疗手段。其中,EUS引导下的假性囊肿穿刺引流术技术成功率高,具有微创、并发症少、复发率低的优势。
刘鹏主任提醒,尽管内镜技术已迈入“超级微创时代”,能在最小创伤下挽救年轻生命,但预防胰腺危机,守护健康,仍需从“舌尖上的自律”开始。
• 饮食、体重控制:保持均衡饮食,多吃新鲜水果和蔬菜,减少高脂肪、高胆固醇食物的摄入,避免暴饮暴食。规律运动维持健康体重,预防肥胖引发的代谢紊乱。控制血脂,降低高脂血症引发胰腺炎的风险。
• 戒烟限酒:男性每日饮酒量不超过24克,女性更少。饮酒导致急性胰腺炎需戒酒。
• 定期体检:定期体检,发现胆结石及时治疗避免胆源性胰腺炎的发生。
湖南医聊特约作者:湖南省人民医院 消化内科 黎秀兰 彭娅
(编辑YT)






