#长沙头条##湖南省人民医院#
58岁男子日渐消瘦,可肚子却越来越大,还出现恶心、呕吐的情况,被人笑问“是不是怀孕了”;而他自己则觉得是人到中年发福的缘故。殊不知,这一切都是因为肚子里长了个皮球大小的肿瘤……

(▲刘先生腹部逐渐膨大,体重却下降了10余斤。)
近半年以来,在广东打工的湖南邵阳籍男子刘先生(化名)发现自己的肚子慢慢长大,以为是发福了。可是,随着肚子越来越大,刘先生的胃口却越来越差,还出现恶心、呕吐、腹痛等不适,人也瘦了一大圈。在惠州一家医院做了胃镜检查,结果显示为“浅表性胃炎、胃溃疡”。
按照胃病治疗一段时间后,刘先生的症状不但没有好转,反而越发吃不下东西,只得利用国庆长假回到老家进一步检查。当CT结果出来后,刘先生如遭晴天霹雳——在他的胃和肝脏之间有一个22×21×14厘米的巨大肿瘤!正是由于肿瘤挤压胃部,才导致他进食困难、吃啥吐啥。
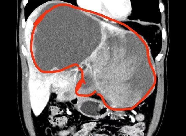
(▲影像资料显示:巨大的肿瘤占据了刘先生整个肝脏的三分之二。)
由于肿瘤巨大,手术切除难度极高,在邵阳当地医院的建议下,刘先生找到湖南省人民医院肝胆外科段小辉主任医师,随后被收入肝胆三病区住院治疗。
入院进一步完善相关检查后,段小辉主任医疗小组与介入血管外科、消化内科、麻醉科等多学科专家,为刘先生进行了多学科会诊。
专家团队一致认为:巨大的肿瘤占据了患者整个左肝以及右肝前叶,手术操作空间极为狭小;加上肿瘤内部出血超过2000毫升,面对血供如此丰富的肿瘤,手术操作必须十分精准,否则极可能引发术中大出血,甚至危及生命;此外,在术前的下肢深静脉血栓筛查中,患者被发现有右下肢静脉血栓。为防止术中、术后出现致命性肺栓塞,介入血管外科医生为他放置了血管滤器。
经过一系列周密的术前准备后,手术于2025年10月20日进行。在首席专家吴金术教授的指导下,段小辉主任带领手术团队,在麻醉科刘际童主任团队的保驾护航下,顺利为患者施行“胃大部分切除+左肝三叶切除+胃空肠吻合+胆总管引流”手术。
手术历时约5小时顺利完成,切下的肿瘤重达3.39公斤,术后病理检查结果显示为:恶性肿瘤(低分化)。
(▲吴金术教授、段小辉主任、李霞护士长等查看刘先生术后恢复情况。)
术后,在肝胆三病区医护团队的精心治疗和护理下,刘先生恢复速度超出预期,于10月28日顺利出院。
“像这样腹部明显变大、体重反而减轻的情况,应该引起高度重视”,段小辉主任表示:后续将根据病检结果,为刘先生安排肿瘤综合性治疗。
湖南医聊特约作者:湖南省人民医院 梁辉
关注@湖南医聊,获取更多健康科普资讯!
(编辑YT)




