8个月的欣欣(化名),出生以来反复感冒、肺炎,近日欣欣再次感冒、肺炎,欣欣妈妈特从外地带宝宝来湖南省第二人民医院(省脑科医院)儿科就诊。
儿科赵源主任医师给欣欣听诊时,除了发现肺部湿罗音外,还发现心脏杂音,告知欣欣妈妈:宝宝肺部有湿罗音,还有心脏杂音,很可能有先天性心脏病——房间隔缺损,需要完善心脏彩超的检查。欣欣妈妈表示很震惊,也很不理解“肺炎为什么要检查心脏彩超?”
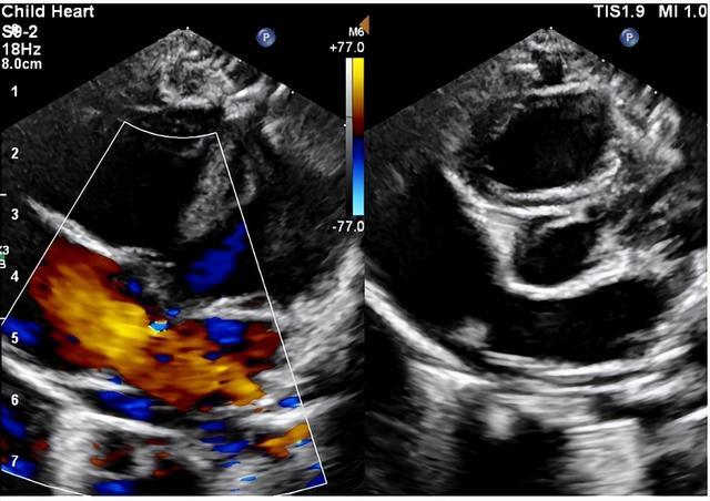
在赵源主任医师的耐心解释和坚持下,欣欣妈妈最终还是带宝宝来到超声医学科进行了心脏彩超检查,检查发现:先天性心脏病 房间隔缺损(继发孔型)。

赵源主任医师介绍,如今很多宝宝经常反复得肺炎,如果听诊发现可疑情况,我们一般也会让患儿做个心脏彩超检查,发现宝宝频繁得肺炎的元凶就是先天性心脏病中的房间隔缺损(简称“房缺”)。
房缺是什么?有哪些症状?
房间隔缺损是指在胚胎发育过程中,由于遗传因素、病毒感染或环境因素等原因,房间隔的发生、吸收和融合出现异常,导致左、右心房之间存在血流交通的一种心脏畸形,相当于我们两个房间共用的“墙壁”出现了一个“洞”。
房间隔缺损较小时,患者可长期耐受没有症状,婴幼儿易患肺炎,后期或缺损大时可有活动后心悸、气急、乏力等症状,进而出现颈静脉怒张、肝淤血、水肿、劳力性呼吸困难等右心功能衰竭的症状,特别是出现肺动脉高压时有右向左分流者出现发绀,严重时可发展至艾森门格综合征。胸骨左缘第2~3肋间可闻及收缩期吹风样杂音。这时宝宝就诊时,儿科医生听诊时会听到杂音。
房缺为什么容易导致肺炎?
正常时,左右心房血液互不相通。房间隔缺损时,左心房压力高于右心房,部分血液从左心房经缺损流入右心房,致右心系统血量增多。右心室将过多血液泵入肺部,使肺循环血量远超正常,这就像一条原本流量适中的河流,突然涌入过多水流。过多血液淤积肺内,给细菌、病毒等病原体创造了良好的生存繁殖环境,增加肺炎感染几率。
婴幼儿房缺会自愈吗?
低龄患者的小型继发孔型房缺常发生自然闭合,3月龄以内患儿的总体自然闭合率可达87%。年龄3个月以内患儿:①<3 mm的继发孔型ASD在1岁半内可全部自然闭合;②缺损直径3~8 mm的患儿在1岁半内有80%以上的自然闭合率;③缺损在8 mm以上者几乎不能自然闭合。
目前绝大多数房缺根据临床表现及超声心动图即可确诊。心脏彩超检查是目前最简单直接的无创检查手段,可以发现房间隔缺损的类型、位置以及大小。并可以测量肺动脉压力评估有无肺动脉高压,评估右心的大小及功能。
房缺该怎么治疗?
除少数患儿房缺可自愈外,手术是目前治疗的唯一有效方法。房缺均可以通过外科手术闭合,其中,约80%继发孔型房缺可以通过经皮介入封堵治疗。
赵源主任医师再次提醒各位家长们,当您发现孩子反复肺炎时,需带宝宝去医院给儿科医生评估,警惕肺炎的另一大元凶——先心病房间隔缺损的可能,房间隔缺损的尽早发现和及时治疗能够改善患者预后。


