#常德头条##汉寿县人民医院#
近日,汉寿县胸痛中心依托“心电一张网”建设,与基层医疗机构紧密联动,成功救治一名90岁高龄急性下壁心肌梗死患者。这场与死神竞速的跨区域救援,不仅攻克高龄患者救治中的多重难关,更彰显出县域紧密胸痛救治网络的强大实力。
一、突发胸痛,基层首诊开启生命救援
12月17日15时01分,90岁的胡奶奶(化名)突发胸痛,家属紧急将其送往军山铺镇中心卫生院。接诊医护团队反应迅速,第一时间为老人完成心电图检查,并将检查结果上传至汉寿县胸痛中心微信群。

(▲患者心电图报告)
信息同步后,汉寿县胸痛中心秘书、心血管内科一病区主任朱宏主任医师立即远程判读,明确诊断为急性下壁心肌梗死,考虑到高龄患者身体耐受度低、病情进展快,朱宏主任当即通过微信群指导基层医护人员,让胡奶奶嚼服“心梗一包药”(拜阿司匹林300mg、氯吡格雷300mg),同时启动急性心肌梗死救治绿色通道,为这场跨越城乡的急救抢下黄金时间。
二、风险叠加,精准评估确定手术方案
“时间就是心肌,时间就是生命!”朱宏主任迅速联系军山铺镇中心卫生院院前急救医生,详细询问患者症状体征与既往病史。在精准评估并确认无手术禁忌症后,他第一时间与家属进行院前沟通,耐心讲解急诊介入手术对高龄患者的必要性与紧迫性。
征得家属同意后,朱宏主任立即启动紧急救治预案,快速协调介入科、心血管内科等相关科室,打通院内救治“高速通道”。按照预案,患者将绕行急诊科,直接转运至导管室准备介入手术,最大限度压缩院内转运时间,为后续救治赢得关键窗口。
对于90岁的胡奶奶而言,脆弱的身体容不得半分延误,汉寿县胸痛中心依托多学科协同作战及无缝衔接救治流程,为挽救生命奠定坚实的基础。
三、精准介入,打通心肌“生命通道”
当急救车抵达汉寿县人民医院,严阵以待的医护团队立即上前接应,无缝衔接完成患者转运。
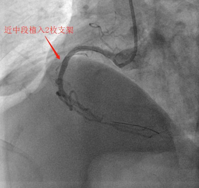
导管室内,医护人员凭借丰富的救治经验和精湛的操作技术,默契配合开展介入治疗。导丝精准穿过堵塞血管,支架顺利植入,闭塞的血管被成功开通,缺血的心肌重新获得血液灌注。从转运途中启动救治预案,到手术顺利完成,整个流程环环相扣、分秒必争,体现了高效有序的应急能力。
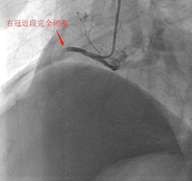
(▲术前)
(▲术后)
术后,胡奶奶转入心血管内科一病区病房。在医护人员的精心治疗和悉心护理下,老人身体状况稳步好转,精神状态日益改善。一周后,胡奶奶顺利康复出院,家属紧握医护人员的手连连道谢,对胸痛中心的高效救治与医护人员的专业素养赞不绝口。
此次90岁高龄心梗患者的成功救治,既是汉寿县胸痛中心高效协作的生动实践,也是县域“心电一张网”建设成效的有力证明。未来,汉寿县胸痛中心将持续优化救治流程,不断加强与基层医疗机构的联动协作,为全县百姓的心血管健康筑起坚实的生命屏障。
郑重提醒
急性胸痛,牢记两个“120”:
1、抢救黄金时间120分钟:心肌梗死的主要症状是剧烈胸痛,发病后120分钟是黄金救治时间,每延误一分钟,心肌细胞坏死增加一倍,心肌细胞一旦坏死无法再生。
2、急性胸痛拨打120:患者一旦发病,尽量让患者安静平躺并马上拨打“120”,接受“120”指导,避免乱用药。治疗越及时,越能降低并发症及死亡率。
湖南医聊特约作者:汉寿县人民医院 心血管内科一病区 朱宏
关注@湖南医聊,获取更多健康科普资讯!
(编辑YT)




