#长沙头条##湖南省中西医结合医院#
近日,71岁的李奶奶(化名)因“反复呼吸困难、头晕乏力伴下肢水肿一个多月”来到湖南省中西医结合医院(湖南省中医药研究院附属医院)就诊。
在当地医院检查时,她不吸氧状态下血氧饱和度一度低至82%(正常人一般在95%以上),曾一度考虑心脑血管疾病。最终经详细检查,揪出了导致她呼吸衰竭的“真凶”——膈疝。
当地医院告知家属,手术可能需要七八个小时,风险极高。经病友推荐,李奶奶一家辗转来到湖南省中西医结合医院(湖南省中医药研究院附属医院)普通外科。
经蒲群旺主任团队检查发现,情况更为复杂:她不仅有膈疝,还合并右侧腹股沟疝和腹壁白线疝,同时患有高血压、糖尿病、肺气肿等多种基础病。
面对这样一位高危、复杂的患者,医院迅速启动多学科协作(MDT)模式,胸外科、麻醉科、心内科、呼吸科专家共同会诊,制定了周密的手术与围术期管理方案。

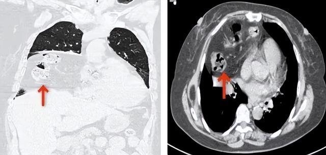
(▲术前CT可见部分肠管疝入右侧胸腔(箭头所示),导致右肺明显受压萎缩)
(▲术后复查CT疝入胸腔的肠管已完全回纳腹腔,被压迫的右肺成功复张)
术后,李奶奶恢复良好,呼吸困难症状消失,在不吸氧的情况下,血氧饱和度稳定在95%以上,现已康复出院。
认识膈疝:胸腔里的“不速之客”
很多人熟知 “小肠气”(腹股沟疝),却对膈疝较为陌生。普通外科蒲群旺主任医师介绍,膈疝是腹腔脏器通过膈肌缺损“窜”入胸腔的特殊疝类,如同胸腹腔之间的“门”坏了,腹腔脏器进入胸腔压迫心肺,引发各类严重症状。
膈肌,是一层像伞一样分隔胸腔和腹腔的肌肉膜。当它出现先天性或后天性的缺损、薄弱时,胃、肠管等腹腔脏器就可能钻入胸腔,形成膈疝。
主要分为三大类:
1. 先天性膈疝:多见于新生儿,出生即出现严重呼吸窘迫,属儿科急症。
(▲AI图片)
2. 创伤性膈疝:由车祸、坠落等严重外伤导致膈肌破裂引起。
3. 食管裂孔疝:在成人中最常见,与年龄、肥胖、腹压增高等有关。李奶奶所患的正是此类。它又分为:
①滑动型:常伴有反酸、烧心。
②食管旁型:更危险,易发生胃扭转、嵌顿、绞窄,需外科急诊处理。
揪出膈疝:影像学检查是关键
膈疝的症状有时不典型,易被误诊为心肺疾病。诊断主要依靠影像学:
1. X光胸片:初步筛查,可能看到胸腔内有异常的气液平面或肠管影。
2. CT扫描:诊断的“利器”,能清晰显示疝的位置、大小、内容物及对肺的压迫情况,为手术方案提供精确“地图”。
3. 上消化道造影:常用于诊断食管裂孔疝,可动态观察造影剂通过情况。
得了膈疝怎么办?治疗需“量体裁衣”
膈疝诊断明确后,治疗方案需高度个体化。
一、保守治疗:适用于轻微反流症状的滑动型食管裂孔疝,主要通过药物控制胃酸、调整生活方式(如减肥、少食多餐、抬高床头)。
(▲AI图片)
二、手术治疗:当出现以下情况时,手术是根本解决之道:
1. 像李奶奶一样,疝入胸腔的脏器较多,已导致呼吸衰竭、心肺受压等严重症状。
2. 诊断为食管旁疝,有嵌顿绞窄风险。
3. 内科治疗无效,严重影响生活质量。
4. 出现梗阻、出血、穿孔等并发症。
目前绝大多数膈疝手术可通过腹腔镜微创完成,具有创伤小、恢复快、疼痛轻的优势。对于像李奶奶这样合并多种疝和基础病的复杂情况,则需要经验丰富的团队评估,有时需要开放手术或个体化的方案。
这些信号要警惕
如果成年人出现不明原因的胸闷、气促、呼吸困难、反复咳嗽,或伴随反酸、烧心、进食后胸痛等症状,尤其在常规心肺检查未发现明显异常时,应考虑到膈疝的可能,需及时到胸外科、普通外科就诊,进行针对性检查,以免延误诊治。
专家提醒
湖南省中西医结合医院(湖南省中医药研究院附属医院)普通外科蒲群旺主任提醒:膈疝虽不如腹股沟疝常见,但危害性更大。随着医疗技术的进步,尤其是微创外科和多学科协作模式的发展,即使高龄、合并症多的复杂膈疝患者,也能通过精准、高效的手术获得新生。
目前绝大多数膈疝修补(尤其是食管裂孔疝和部分创伤性疝)均可通过腹腔镜或胸腔镜完成,大大改善了患者预后,但较复杂的疝可能需行传统开腹手术治疗。但任何疑似膈疝的症状都应及时就医,由医生进行全面评估并制定个体化治疗方案,以免耽误病情,增加治疗难度。
湖南医聊特约作者:湖南省中西医结合医院(湖南省中医药研究院附属医院) 普通外科 刘河
关注@湖南医聊,获取更多健康科普资讯!
(编辑ZS)





