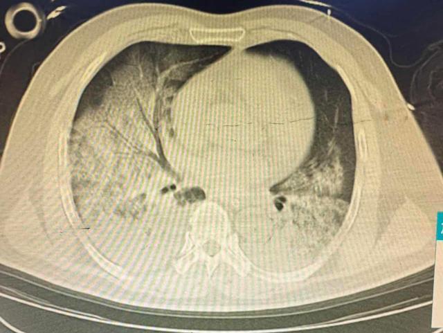
1月23日夜间,一名61岁男性患者从安化转入益阳市中心医院急诊。患者因严重溺水导致多脏器功能衰竭,外院呼吸机已难以维持氧合,病情极度危重。急诊完善胸部CT提示双肺大面积渗出病变超过80%,患者随即紧急转入重症医学科(ICU)。

患者入ICU后,医护团队立即予呼吸机辅助通气、去甲肾上腺素等药物维持生命体征。主治医师张林接诊后发现,常规机械通气已无法维持有效氧合,患者氧合指数最低仅38,生命垂危。
科室主任庄水龙快速评估病情后,当即决定启动ECMO生命支持。贺群礼副主任、曾贤慧副主任医师、张林主治医师及邓立四主管护师等团队成员迅速就位、紧密配合,仅用约半小时顺利实施V-VECMO置管与运转。ECMO启动后,患者氧合情况即刻得到明显改善,为后续救治赢得宝贵时机。
此后20余个日夜,ICU医护团队坚守不离、精细监护、全力救治。
第10天,成功撤除ECMO。
第16天,顺利拔除气管插管。
目前,患者已转入普通病房,各脏器功能基本恢复,四肢肌力恢复正常,康复效果显著。
体外膜肺氧合(ECMO)技术是救治濒危心肺功能衰竭患者的终极武器,此次危重溺水患者的成功救治,得益于医院对重症医学科建设的高度重视与大力支持,离不开ICU团队精湛的专业技术、高效的应急处置与全程精心的诊疗护理。他们用硬核技术与坚守担当,为保障人民群众生命健康提供了最坚强的后盾。
湖南医聊特约作者:益阳市中心医院 张林
(编辑ZS)





