几个月前,长沙的李阿姨(化名)升级当了奶奶,整日乐呵呵的地抱着小孙子。可最近,她的左手腕却疼的厉害,尤其是拇指侧那块突起的小骨头周围,一抱孩子、一拧毛巾就钻心地痛。
她原以为是“转了筋”,摸了活络油也不见好,反而肿痛的更加厉害。来到湖南旺旺医院骨科看诊后,医生为其开具了相关检查。
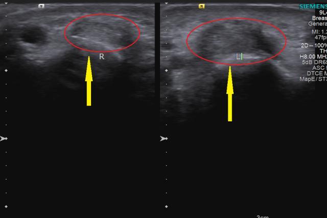
超声结果提示:左侧手腕拇长展肌腱、拇短伸肌腱腱鞘较对侧明显增厚。原来李阿姨是得了“妈妈手 ”。

超声结果显示:左侧手腕拇长展肌腱、拇短伸肌腱腱鞘较右侧明显增厚,回声减低。
彩色多普勒超声显示:增厚的肌腱及腱鞘血流信号增多。
科普知识:
一、什么是“妈妈手”?
“妈妈手”又称桡骨茎突狭窄性腱鞘炎,手腕部第一腔室内有拇长展肌腱、拇短伸肌腱。由于这两根肌腱长期过度使用,如频繁打字、抱孩子、玩手机等,就会导致腱鞘内摩擦过度,产生炎症、肿胀。肌腱在穿过手腕处肿胀的腱鞘时,就会产生摩擦和卡顿,从而引起疼痛。
二、哪些人容易患上“妈妈手”?
任何职业如需要重复使用到手腕和拇指的人都可能会发此病。比如:经常电脑办公、抱孩子、玩手机以及厨师、流水线工人、木匠等人群都易得此病。
三、“妈妈手”都有哪些症状?
1.当抱孩子、提重物、拧毛巾、转动门把手时,手腕用力后感到尖锐的刺痛,活动受限。
2.手腕拇指侧突起的小骨头处(桡骨茎突)按压疼痛加剧,并且可能伴有肿胀或摸到小硬结。
3.握拳尺偏试验:将拇指弯曲握在掌心,然后手腕轻轻向小指方向(尺侧)偏屈时,腕部拇指侧会出现剧烈疼痛。
四、如何预防“妈妈手”?
1.正确的抱娃姿势,用手臂和手掌承重而不是用手腕或者手指,尽量让宝宝贴近大人身体以分散重量;使用腰凳或婴儿背带缓解抱孩子的压力。
2.避免长时间重复手部姿势,工作间歇勤放松,每30分钟活动一下手腕,做些轻柔的伸展。
3.注意手腕中立位:使用鼠标、键盘或手机时,尽量保持手腕伸直、避免过度向尺侧(小指侧)或桡侧(拇指侧)弯曲。
五、“妈妈手”出现症状如何缓解?
休息制动,疼痛较轻时,可制动休息1-2周,有助于减轻肌腱与腱鞘之间的摩擦,急性期可在早、中、晚各冰敷20分钟,有消肿镇痛的作用。可以规范佩戴护具固定腕关节。
若以上疼痛没有缓解或症状较重者应及时到医院就诊治疗。
湖南旺旺医院超声科温馨提醒:“妈妈手”是手腕对我们发出的“过度”使用“警报”,关爱双手,从科学使用开始,及时休息,必要时寻求专业医师的帮助。
湖南医聊特约作者:湖南旺旺医院 超声科 王俊杰
(编辑ZS)



