“春困秋乏夏打盹,睡不醒的冬三月。”这个冬天,43岁的李先生看似普通的乏力嗜睡,背后却隐藏着罕见的巨大颅内肿瘤。短短数日,他即从意识清醒急转昏迷偏瘫,生命危在旦夕。武汉大学人民医院(湖北省人民医院)东院区神经外科团队开启生死救援,在多学科协作下成功完成高难度急诊手术,不仅挽救患者生命,更最大程度保护其神经功能,为后续治疗赢得关键机会。

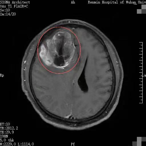
一个月前,湖北黄石市民李先生因持续半个月出现全身乏力、精神萎靡等症状,来到武汉大学人民医院东院区就诊。入住风湿免疫科后,颅脑核磁共振检查显示,其右侧额叶有一巨大占位,高度怀疑为恶性肿瘤。
更危急的是,巨大肿瘤会引发严重脑水肿,还伴有脑积水。此时,李先生颅内状况如同一颗被挤到极限的“炸弹”,随时可能危及生命。
李先生被紧急转入东院区神经外科四病区。刚转科不久,他就突发浅昏迷,一侧肢体偏瘫。急诊复查CT提示,其脑水肿较前显著加重,脑疝形成,生命体征告急。
“这是典型的颅内高压危象,肿瘤周围水肿急剧加重引发了脑疝。”神经外科四病区主任王峻教授团队当即采取抢救措施,暂时稳住病情。但唯有尽快手术切除肿瘤,才能从根本上解除生命威胁。
时间就是生命,该院立即启动急危重症颅内肿瘤MDT救治绿色通道。面对这一危重复杂病例,王峻教授团队凭借丰富的临床经验和精湛的显微外科技术,在显微镜下精准操作开展手术。
手术难度极大。王峻教授团队如“雕刻”般彻底切除病变组织,同时小心翼翼保护负责运动、语言等重要功能的脑区及关键血管。术后,患者受压移位的脑组织逐渐复位,颅内生命通道恢复通畅。影像学复查结果显示,肿瘤切除效果满意,脑疝完全复位。
术后,在重症监护团队和护理团队的精心照护下,李先生的恢复过程十分顺利,其神志逐渐清醒,偏瘫肢体的肌力一天天好转,最终实现生活完全自理,未遗留明显神经功能后遗症及手术相关并发症,创下高质量生存的奇迹。目前,李先生已顺利转入肿瘤科接受进一步规范化治疗。
武汉大学人民医院神经外科主任李明昌教授表示,积极、精准、及时的外科干预,是战胜复杂颅内肿瘤的基石。高级别胶质瘤的治疗是一场持久战,而手术的“第一枪”必须精准,既要最大程度切除肿瘤,又要保护语言、运动等核心功能区,这正是该院神经外科的核心优势。
通讯员 宋平 江洪祥 邹亚琴
文/北京青年报记者 屈畅
责任编辑:李墨涵(EN043)
