近视≥600度、眼轴≥26.5mm请立刻警惕眼底风险!高度近视已不再是简单的屈光问题,而是威胁青少年及青年群体视觉健康的重要隐患。当近视度数超过600度、眼轴长度大于26.5毫米,眼底便进入高危状态。
近日,长沙爱尔眼科医院高度近视专科门诊成功救治一名高度近视引发严重眼底并发症的年轻患者,通过规范、快捷的日间治疗,帮助其重获良好视力,为广大高度近视人群敲响警钟。
就诊人为20岁男性,计算机专业应届毕业生,戴镜十余年,双眼高度近视近900度。因长期熬夜学习、入职后长期面对电脑工作,突发左眼中心暗点、固定黑影遮挡、视物变形,视力急剧下降。
就诊检查显示:
1、右眼眼轴28.16mm,左眼眼轴28.42mm,均远超26.5mm临界值;
2、左眼矫正视力仅0.02。
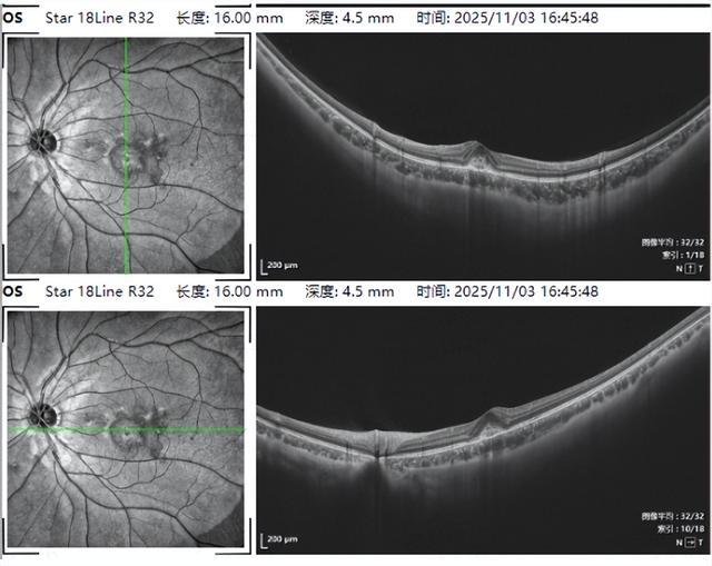
经欧堡超广角眼底照相、赛炜OCT等精准检查,确诊为左眼脉络膜新生血管合并黄斑出血。
该病是高度近视最凶险的并发症之一,异常新生血管易破裂出血,直接损伤负责中心视力的黄斑区,治疗不及时可造成永久性视力损伤。

快速救治:当日检查、当日治疗
长沙爱尔眼科医院高度近视专科门诊宁向艳主任带领团队,迅速为患者制定抗VEGF眼内注药治疗方案。依托长沙爱尔眼科日间注药中心,实现当日检查、当日治疗、无需住院,微创安全、便捷高效。
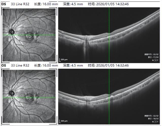
1月后复查,患者左眼矫正视力从0.02恢复至0.6,黄斑出血吸收,新生血管得到有效控制,顺利恢复正常工作与生活。
长沙爱尔眼科医院高度近视专科门诊宁向艳主任提醒:
1.近视≥600度、眼轴≥26.5mm,属于病理性近视高危人群,发生黄斑出血、脉络膜新生血管、视网膜脱离等致盲眼病风险显著增高。
2.长期熬夜、过度用眼、持续视疲劳,是年轻患者突发眼底病变的重要诱因。
3.一旦出现视物变形、中心黑影、视力突然下降、眼前飞蚊骤增等症状,务必在24小时内到专业眼科机构就诊。
4.高度近视人群应每年至少进行一次全面眼底检查,做到早筛查、早发现、早干预。
宁向艳主任介绍,抗VEGF眼内注药是国际国内指南一致推荐的脉络膜新生血管一线治疗方案,联合日间诊疗模式,可让年轻患者快速得到有效救治,最大限度保留和恢复视力。
关注高度近视,守护眼底健康。早预防、早筛查、早治疗,让清晰视界伴随一生。
湖南医聊特约作者:吴宇曦
(编辑92)



