退休,本是卸下生活重担、尽享天伦之乐的美好时光。对于尹阿姨(化名)而言,她最大的心愿,就是退休后帮忙碌的女儿照看外孙,闲暇时间去看看外面的世界。
这份简单的幸福,却被双膝关节疼痛彻底打乱。从走路隐隐作痛,到寸步难行,上下楼、起身坐下都成煎熬。原本满心欢喜的退休生活,被病痛折磨得苦不堪言,带孙的心愿成了奢望,尹阿姨的心里满是焦虑与无奈。

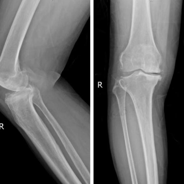
(▲术前膝关节影像片,可见右膝关节退变严重,内侧关节间隙明显狭窄,下肢全长片亦可见右膝关节明显内翻畸形)
吃药、理疗、贴膏药…… 各种保守治疗试了个遍,疼痛非但没缓解,反而越来越重。“难道这辈子,就要被这膝盖绑住了?”她一度心灰意冷。
病友指路,找到新希望
就在尹阿姨几乎放弃时,一位病友热心推荐:“去长沙市第四医院岳麓院区,找骨科一病区主任、主任医师刘洪看看吧,我就是在他那里看的。”
抱着试一试的想法,尹阿姨找到了刘洪主任。刘洪耐心问诊、细致查体,结合影像学检查,确诊尹阿姨为双侧膝关节骨性关节病(右侧偏重)。
此时保守治疗已无效果,刘洪为她量身定制了个体化膝关节表面置换术。术前团队反复排查风险、精细推演方案,力求微创、精准,让患者少受罪、快康复。
术后次日就能下地
在刘洪主任的指导下,副主任医师何宁与团队顺利完成手术。手术创伤小,切口采用美容缝合,无需拆线,仅留一道细微痕迹,既美观又减轻了患者心理负担。
(▲术后膝关节影像片,内侧关节间隙恢复正常)
在医护精心照料下,术后第二天尹阿姨就能下地行走!纠缠许久的剧痛明显缓解,僵硬的关节重获灵活,久违的笑容又回到了她脸上。
更让她安心的是医院的免陪照护病房。女儿工作繁忙无法时时陪护,医院医疗护理员从日常起居、饮食照料到康复辅助,24小时悉心照护,不用女儿操心,尹阿姨住院踏实且舒心。
经过系统治疗与康复,尹阿姨膝关节功能恢复良好,走路稳健有力,疼痛彻底消失,顺利出院。
她拉着医护人员的手连连道谢:“多亏你们,现在腿脚利索了,终于能好好过退休日子了!”
膝关节置换不是换掉“膝盖”
刘洪主任介绍:膝关节是人体“承重轴”,年龄增长、长期使用会让软骨磨损,如同零件老化,严重时骨面直接摩擦,引发疼痛、肿胀、变形,甚至出现O型腿、X型腿。
当膝关节病变严重时,需做“膝关节置换”。很多人一听“膝关节置换”就害怕,其实大可不必。手术并非换掉整个关节,只是修整磨损的软骨和薄层病变骨面,再植入人工关节面,相当于给膝盖镶上一层“保护壳”。这样既能极大缓解疼痛、矫正变形,又能保留患者自身的大部分骨骼和韧带,术后关节更稳定、功能恢复也更快。
湖南医聊特约作者:长沙市第四医院 胡帆 徐娣
关注@湖南医聊,获取更多健康科普资讯!
(编辑ZS)




